Home
About us
About us
About Dr. Vijay Vaghela
Happy Patient
Services
General Dentistry
Orthodontic Treatments (Braces & Aligners)
Cosmetic & Aesthetic Dentistry
Prosthodontics Dentistry
Dental Implants
Gum & Periodontal Care
Pediatric Dentistry
Smile Transformation
Insights
Contact Us
Make Appointment
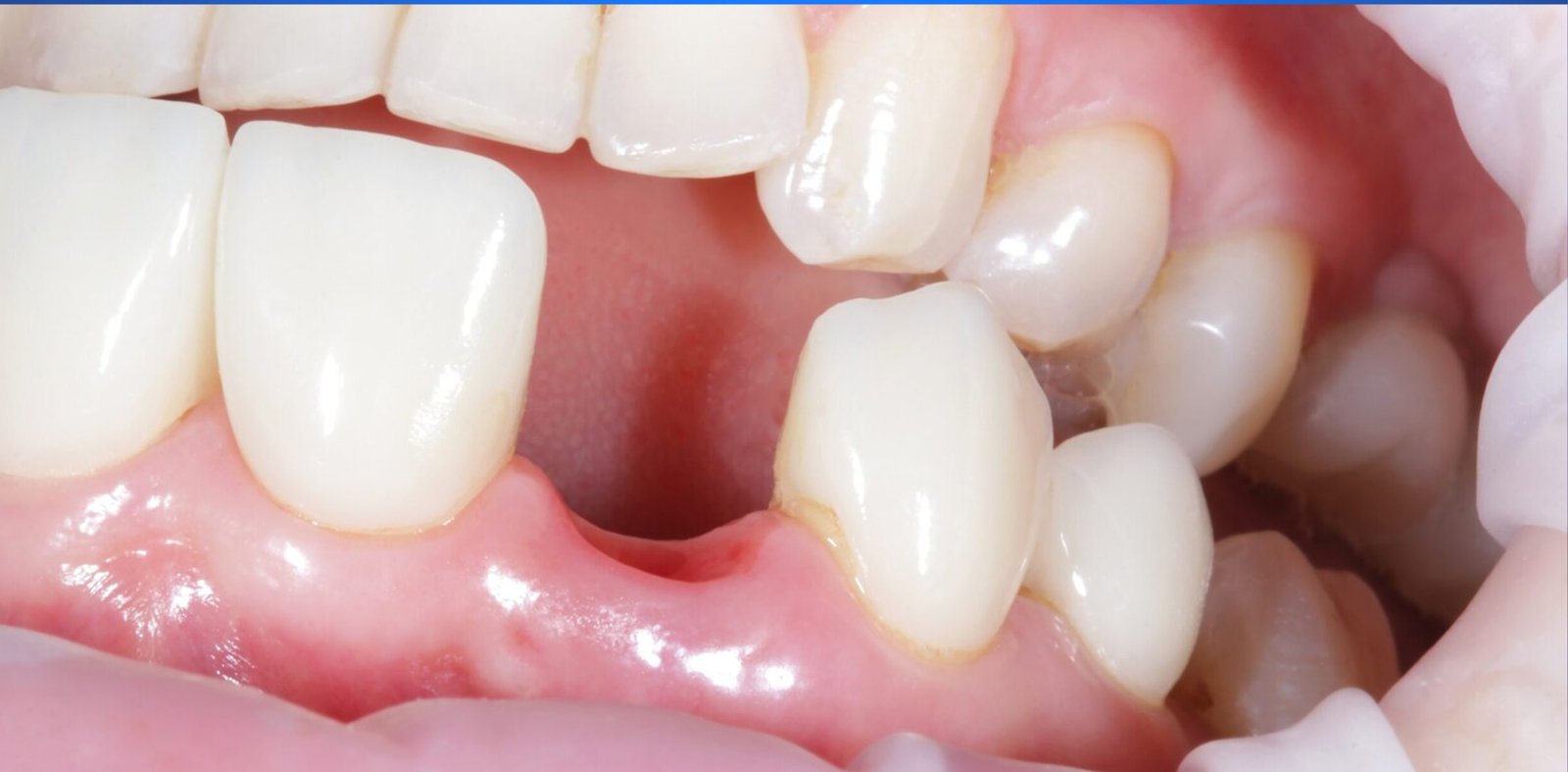
Dental Implant
Home
Services
Single & Multiple Dental Implants
Read More
Implant-Supported Crowns & Bridges
Read More
Missing Tooth Replacement Solutions
Read More
Myra Dental Clinic
online
✕
Myra Dental Clinic
Hi 👋
How can I help you?